Thiết kế và cấu hình của máy siêu âm 4D SonoScape S12
Thiết kế
- **Kích thước và Trọng lượng:** Máy siêu âm Sonoscape S12 có thiết kế nhỏ gọn, trọng lượng nhẹ, dễ dàng di chuyển trong các phòng khám và bệnh viện nhờ vào hệ thống bánh xe linh hoạt và tay cầm chắc chắn.
- **Màn hình:** Màn hình LED 15 inch có độ phân giải cao, cung cấp hình ảnh sắc nét và chi tiết. Màn hình có thể điều chỉnh góc nhìn để phù hợp với các vị trí làm việc khác nhau, giúp giảm thiểu căng thẳng cho người sử dụng.
- **Bảng điều khiển:** Bảng điều khiển với giao diện thân thiện người dùng, các phím chức năng được bố trí hợp lý và có ánh sáng nền, dễ dàng thao tác ngay cả trong điều kiện ánh sáng yếu.
- **Cấu hình phần cứng của máy siêu âm SonoScape S12
- **Bộ xử lý:** Được trang bị bộ xử lý mạnh mẽ, đảm bảo tốc độ xử lý hình ảnh nhanh chóng, độ trễ thấp, giúp cải thiện hiệu quả làm việc.
- **Bộ nhớ:** Bộ nhớ trong có dung lượng lớn, cho phép lưu trữ hàng nghìn hình ảnh và các đoạn video ngắn của quá trình siêu âm. Ngoài ra, còn có các tùy chọn mở rộng bộ nhớ qua cổng USB.
- **Cổng kết nối:** Bao gồm các cổng USB, VGA, HDMI, Ethernet, giúp kết nối dễ dàng với máy tính, máy in, màn hình ngoài, và hệ thống mạng nội bộ để chia sẻ dữ liệu nhanh chóng.
Tính Năng Kỹ Thuật của máy siêu âm SonoScape S12
Chế độ hình ảnh
- **2D:** Hình ảnh siêu âm trắng đen cơ bản, được sử dụng phổ biến trong hầu hết các ứng dụng siêu âm.
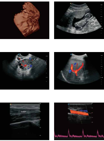
- **3D/4D:** Cho phép tái tạo hình ảnh không gian ba chiều và bốn chiều của các cấu trúc bên trong cơ thể, hữu ích trong siêu âm thai nhi và các cấu trúc phức tạp.
- **Doppler màu:** Hiển thị dòng chảy của máu trong các mạch máu bằng màu sắc, giúp xác định tốc độ và hướng dòng chảy.
- **Doppler năng lượng:** Đánh giá lưu lượng máu với độ nhạy cao, đặc biệt hữu ích trong việc phát hiện các dòng chảy nhỏ hoặc chảy chậm.
- **Doppler xung:** Cung cấp thông tin chi tiết về tốc độ dòng chảy máu tại một vị trí cụ thể.
- **M-mode:** Ghi lại chuyển động của các cấu trúc bên trong cơ thể theo thời gian, thường được sử dụng trong siêu âm tim.
- **Đầu dò:** của máy siêu âm SonoScape S12
- **Loại đầu dò:** Hỗ trợ nhiều loại đầu dò khác nhau như đầu dò cong, đầu dò phẳng, đầu dò tim, đầu dò phụ khoa, đầu dò trực tràng, và đầu dò mạch máu.
- **Tần số:** Các đầu dò có khả năng điều chỉnh tần số linh hoạt, từ tần số thấp (2-5 MHz) cho các cấu trúc sâu, đến tần số cao (7-12 MHz) cho các cấu trúc nông.
- **Công nghệ đầu dò:** Sử dụng công nghệ tiên tiến giúp tăng cường độ nhạy và độ phân giải hình ảnh.
Tính Năng Đặc Biệt của máy siêu âm SonoScape S12
- **iImage:** Công nghệ tối ưu hóa hình ảnh tự động, giúp điều chỉnh các thông số để đạt được chất lượng hình ảnh tốt nhất chỉ với một nút bấm.
- **Q-Flow:** Cải thiện khả năng hiển thị dòng chảy máu với độ nhạy cao, giúp phát hiện và đánh giá các vấn đề liên quan đến tuần hoàn máu.
- **Multi-beam:** Công nghệ nhiều tia giúp tăng cường tốc độ khung hình và độ phân giải, cải thiện khả năng chẩn đoán trong các tình huống động.
- **TDI (Tissue Doppler Imaging):** Hình ảnh Doppler mô giúp đánh giá tốc độ và hướng chuyển động của mô tim.
Ứng Dụng trên máy siêu âm SonoScape S12
- **Y học nội khoa:** Siêu âm gan, thận, tụy, lách, và các cơ quan khác để phát hiện các bệnh lý như khối u, sỏi, viêm, và các bất thường khác.
- **Sản phụ khoa:** Theo dõi sự phát triển của thai nhi, đánh giá tình trạng nhau thai, nước ối, và chẩn đoán các vấn đề phụ khoa như u nang buồng trứng, lạc nội mạc tử cung.
- **Tim mạch:** Đánh giá cấu trúc và chức năng tim, đo lưu lượng máu trong các mạch máu, phát hiện các bệnh lý tim mạch như hở van tim, tắc nghẽn mạch vành.
- **Cơ xương khớp:** Kiểm tra các bệnh lý liên quan đến cơ xương khớp, dây chằng, gân, và các cấu trúc mô mềm khác như thoái hóa khớp, viêm gân, rách dây chằng.
Ưu Điểm của máy siêu âm SonoScape S12
- **Độ chính xác cao:** Nhờ công nghệ xử lý hình ảnh tiên tiến và đầu dò chất lượng cao, máy siêu âm Sonoscape S12 mang lại kết quả chẩn đoán chính xác và tin cậy.
- **Dễ sử dụng:** Thiết kế giao diện người dùng thân thiện, bảng điều khiển trực quan giúp các bác sĩ và kỹ thuật viên dễ dàng vận hành mà không cần nhiều thời gian đào tạo.
- **Tính linh hoạt:** Có thể sử dụng trong nhiều chuyên khoa khác nhau, từ nội khoa, sản phụ khoa, tim mạch đến cơ xương khớp, đáp ứng mọi nhu cầu siêu âm.
Hỗ Trợ và Bảo Hành của Sonoscape S12
**Bảo hành:** Máy siêu âm SonoScape S12 bảo hành 24 tháng
- **Dịch vụ hỗ trợ:** Nhà cung cấp thường cung cấp dịch vụ hỗ trợ kỹ thuật, bảo trì định kỳ, và đào tạo sử dụng máy cho nhân viên y tế, đảm bảo thiết bị luôn hoạt động ổn định và hiệu quả.
Máy siêu âm Sonoscape S12 là một thiết bị siêu âm toàn diện, kết hợp giữa công nghệ hiện đại và tính linh hoạt cao, là lựa chọn lý tưởng cho các cơ sở y tế mong muốn nâng cao chất lượng chẩn đoán hình ảnh và dịch vụ chăm sóc sức khỏe.



Xem thêm