Là mẫu máy siêu âm xách tay SonoScape đen trắng. SonoScape E1 được trang bị đầy đủ chức năng, nâng cao khả năng cạnh tranh so với các mẫu máy siêu âm cơ bản.
Máy siêu âm xách tay SonoScape E1 không chỉ mang lại chất lượng hình ảnh hài lòng mà còn mang đến trải nghiệm làm việc mượt mà cho người dùng.
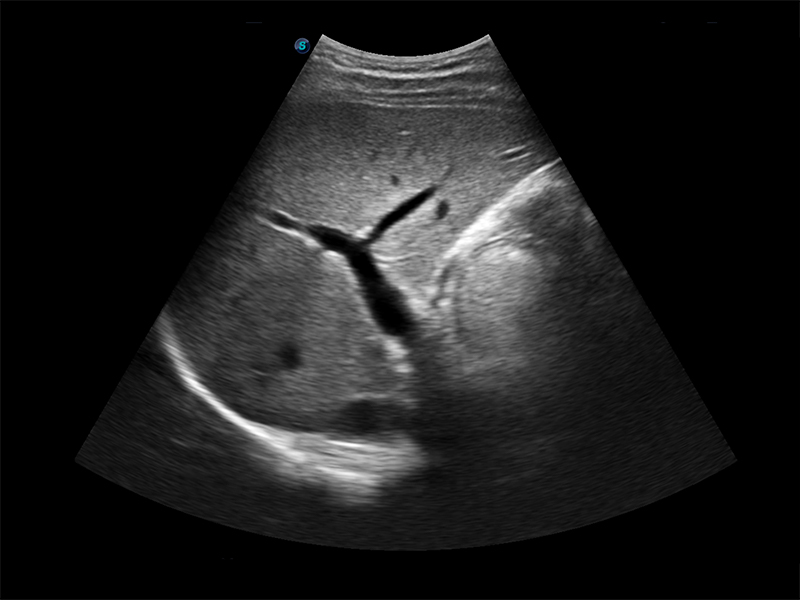
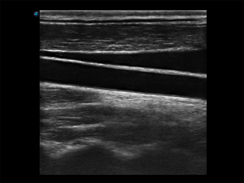
Chẩn đoán hiệu quả trên máy siêu âm xách tay SonoScape E1
• Quét μ, Giảm đốm và Tăng cường cạnh
• Chụp ảnh phức hợp không gian
• PIH - Sóng hài đảo ngược xung
• Quét rộng - Phóng to vùng ảnh
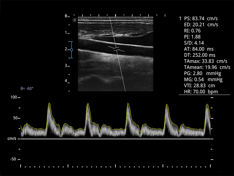
• Doppler PW
• Sắc độ - Làm nổi bật chi tiết ảnh
• B Steer cho đầu dò tuyến tính
Thiết kế công thái học của máy siêu âm xách tay SonoScape E1
• 2 cổng đầu dò
• Nhẹ và nhỏ gọn
• Màn hình LED HD 15,6 inch chống nhấp nháy
• Điều chỉnh góc màn hình nghiêng
• Bàn phím có đèn nền và bảng điều khiển thông minh
• Pin lâu dài trong 90 phút
Dễ dàng sử dụng với máy siêu âm xách tay SonoScape E1
• Khởi động nhanh
• Tự động điều chỉnh độ sáng •
Tự động tối ưu hóa hình ảnh
• Tự động IMT
• Tự động theo dõi
Phụ kiện được trang bị trên máy siêu âm xách tay SonoScape E1
• Có sẵn Wi-Fi và Bluetooth
• DICOM
• Ổ cứng 500GB






Xem thêm